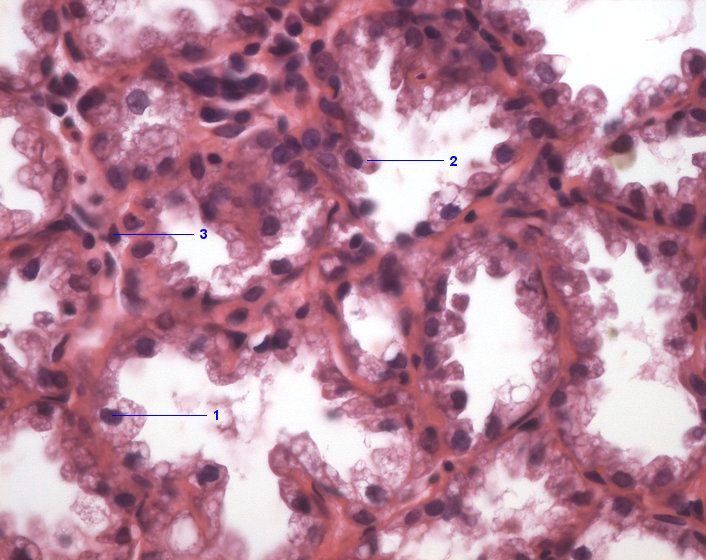
1 Drüsenzelle, Zellkern
2 Einschnürung am apikalen Pol
3 Myoepithelzelle
[drucken] Drucken
[zum interaktiven Modus]