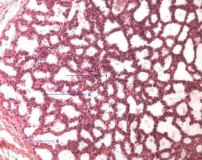
1 Drüsenendstück, Lumen
2 Isoprismatisches Drüsenepithel
3 Bindegewebsseptum
[drucken] Drucken
[zum interaktiven Modus]