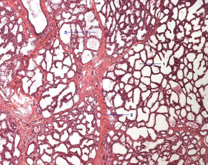
1 Drüsenendstück, Lumen
2 Bindegewebsseptum
3 Sekret im Lumen des Azini
[drucken] Drucken
[zum interaktiven Modus]