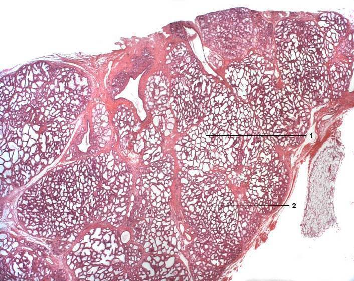
1 Drüsenendstücke
2 Bindegewebsseptum
[drucken] Drucken
[zum interaktiven Modus]