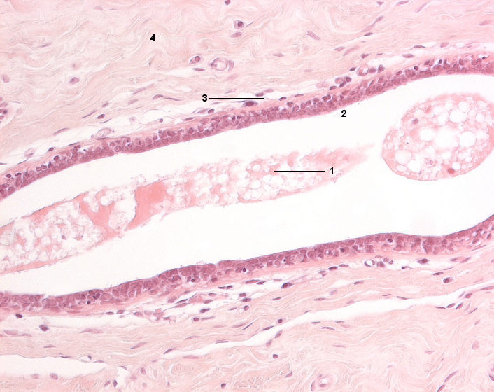
1 Ductus lactifer (Milchgang), Sekret im Lumen
2 Epithel des Ausführungsganges
3 Lamina propria, Mantelbindegewebe
4 Grobfaseriges kollagenes Bindegewebe
[drucken] Drucken
[zum interaktiven Modus]