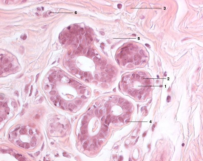
1 Drüsenendstück, Lumen
2 Isoprismatisches Drüsenepithel
3 Interlobuläres Bindegewebe
4 Myoepithelzelle, Zellkern
5 Intralobuläres Bindegewebe
6 Kapillare, Endothelzellkern
[drucken] Drucken
[zum interaktiven Modus]