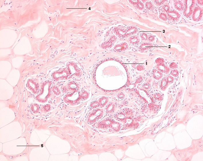
1 Ductus lactifer, Epithel
2 Milchdrüsenendstück
3 Zellreiches, intralobuläres Bindegewebe
4 Zellarmes, interlobuläres Bindegewebe
5 Univakuoläre Fettzelle
[drucken] Drucken
[zum interaktiven Modus]