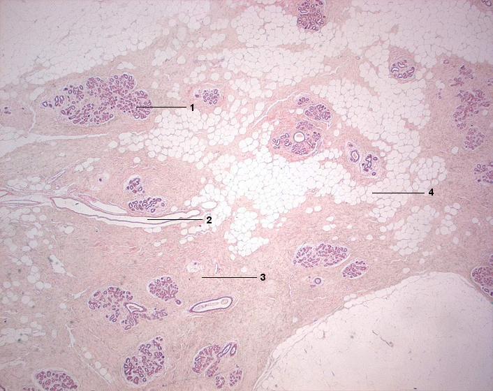
1 Lobuli glandulae mammariae, Drüsenendstücke
2 Ductus lactifer, Ausführungsgang
3 Kollagenes Bindegewebe
4 Univakuoläres Fettgewebe
[drucken] Drucken
[zum interaktiven Modus]