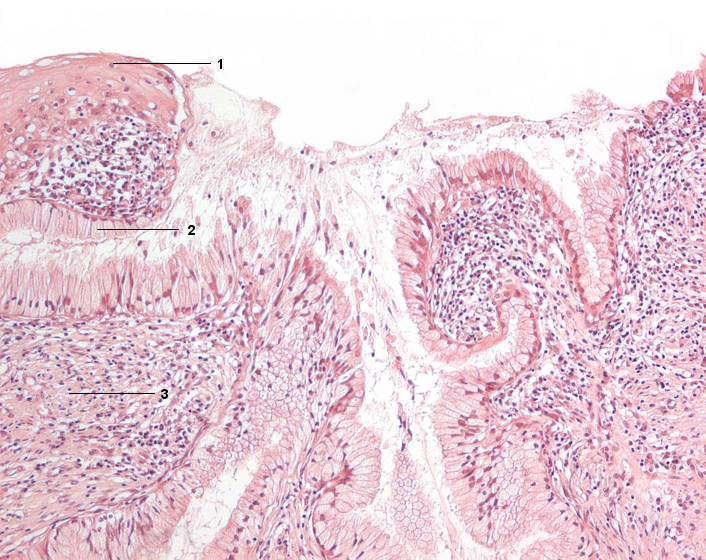
1 Vaginalepithel (mehrschichtiges Plattenepithel)
2 Uterusepithel (hochprismatisches Epithel)
3 Cervix uteri (Lamina propria mucosae)
[drucken] Drucken
[zum interaktiven Modus]