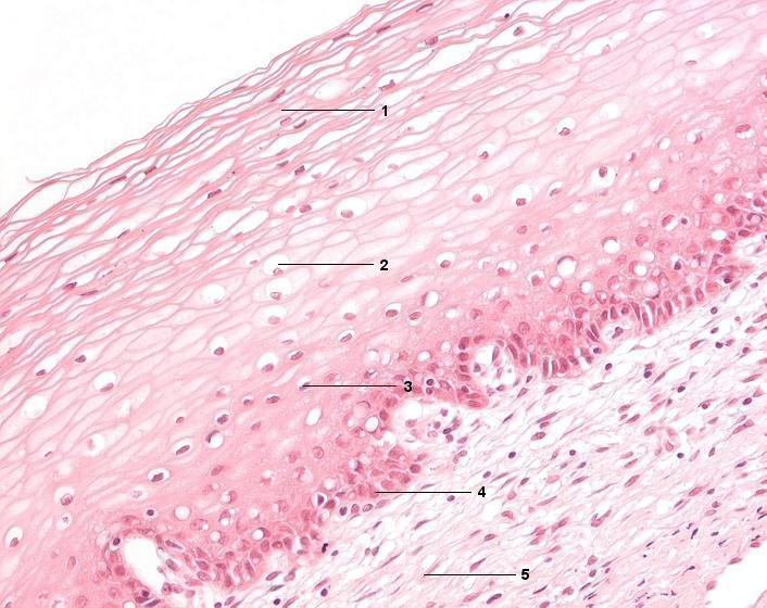
1 Superfizialzellschicht
2 IntermediƤrzellschicht
3 Parabasalzellschicht
4 Basalzellschicht
5 Lamina propria mucosae
[drucken] Drucken
[zum interaktiven Modus]