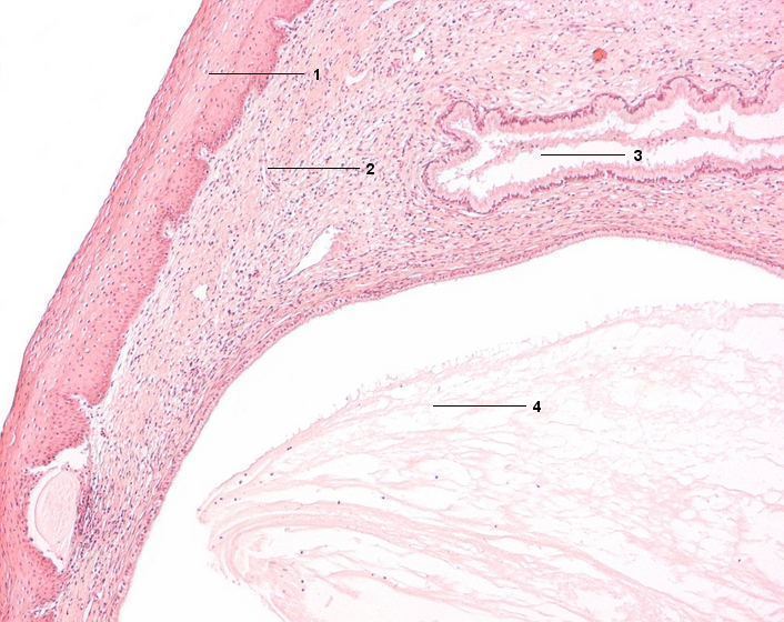
1 Lamina epithelialis mucosae
2 Lamina propria mucosae
3 Glandula cervicalis
4 Ovulum Nabothi
[drucken] Drucken
[zum interaktiven Modus]