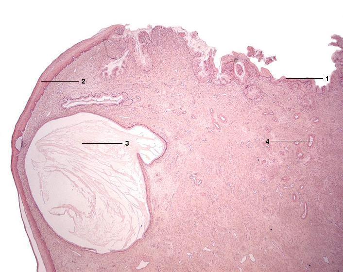
1 Cervix uteri, Tunica mucosa
2 Portio vaginalis cervicis, Tunica mucosa
3 Ovulum Nabothi
4 Glandula cervicalis uteri
[drucken] Drucken
[zum interaktiven Modus]