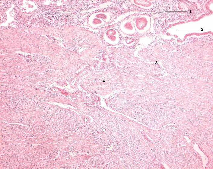
1 Endometrium, Stratum basale
2 Anschnitt einer tubulösen Glandula uterina
3 Myometrium, Bündel glatter Muskelzellen
4 Anschnitt einer Spiralarterie
[drucken] Drucken
[zum interaktiven Modus]