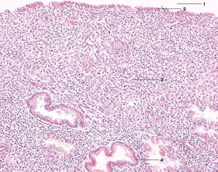
1 Cavum uteri
2 Epithel
3 Lamina propria mucosae, Stroma endometrii
4 Glandula uterina (Epithel)
[drucken] Drucken
[zum interaktiven Modus]