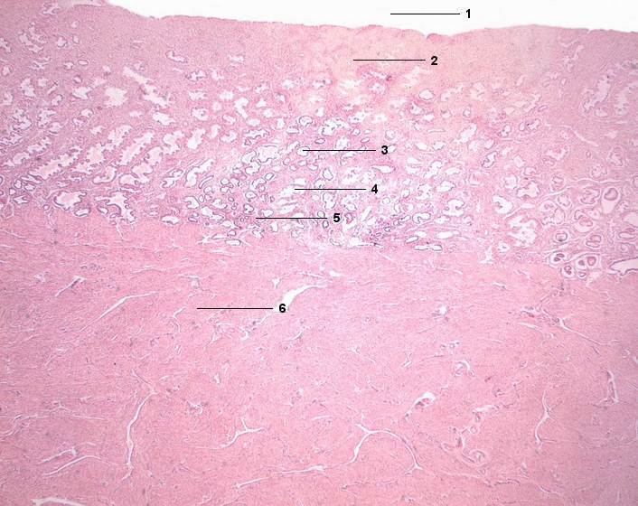
1 Cavum uteri, Uteruslichtung
2 Endometrium, Str. functionale (Zona compacta)
3 Stratum functionale, Zona spongiosa
4 Glandula uterina
5 Stratum basale
6 Myometrium
[drucken] Drucken
[zum interaktiven Modus]