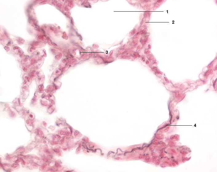
1 Alveole
2 Septum interalveolare
3 Kapillare, Endothelzellkern
4 Elastische Fasern im Alveolarseptum
[drucken] Drucken
[zum interaktiven Modus]