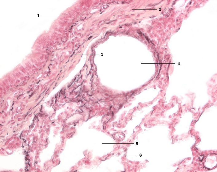
1 Respiratorisches Epithel eines Bronchiolus
2 Tunica fibromuscularis, glatte Muskelzellen
3 Elastische Fasern
4 Ast der Arteria pulmonalis, Gefäßlumen
5 Alveolarlumen
6 Interalveolarseptum
[drucken] Drucken
[zum interaktiven Modus]