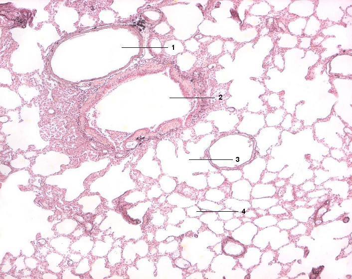
1 Ast der Arteria pulmonalis
2 Bronchiolus
3 Sacculus alveolaris
4 Alveole
[drucken] Drucken
[zum interaktiven Modus]