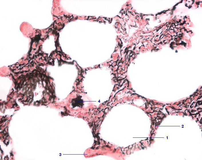
1 Alveolarlumen
2 Septum interalveolare
3 Basalring mit glatter Muskulatur
4 Tuschegefülltes Gefäß
[drucken] Drucken
[zum interaktiven Modus]