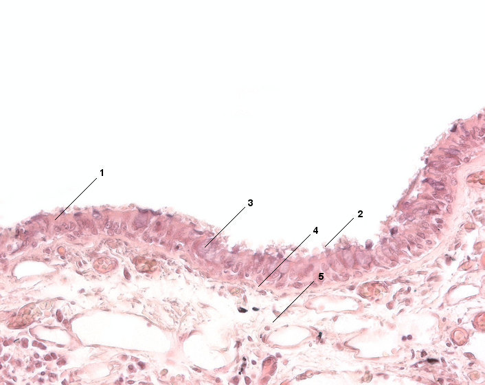
1 Respiratorisches Epithel
2 Kinozilien
3 Becherzelle
4 Basalmembran
5 Lamina propria mucosae
[drucken] Drucken
[zum interaktiven Modus]