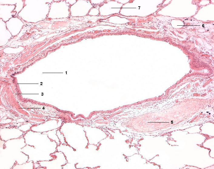
1 Kleiner Bronchus (Lumen)
2 Respiratorisches Epithel
3 Lamina propria mucosae
4 Glatte Muskulatur
5 Knorpelplättchen (hyaliner Knorpel)
6 Tunica adventitia, Ast der A. pulmonalis
7 Alveole
[drucken] Drucken
[zum interaktiven Modus]