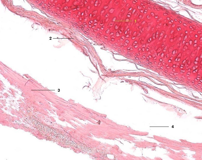
1 Cartilago trachealis, Knorpelspange
2 Perichondrium
3 Tunica adventitia
4 Spaltraum (Artefakt)
[drucken] Drucken
[zum interaktiven Modus]