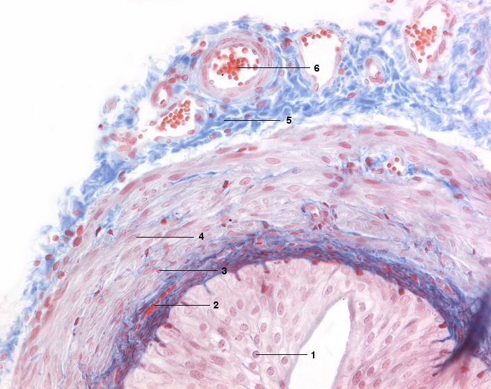
1 Urothel (Übergangsepithel)
2 Lamina propria mit Venole
3 Tunica muscularis, Stratum longitudinale
4 Stratum circulare
5 Tunica adventitia, kollagene Fasern
6 Arteriole
[drucken] Drucken
[zum interaktiven Modus]