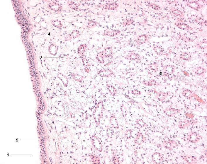
1 Pelvis renalis (Nierenbecken)
2 Übergangsepithel der Nierenpapille
3 Tubulus intermedius
4 Sammelrohr
5 Blutgefüllte Kapillare
[drucken] Drucken
[zum interaktiven Modus]