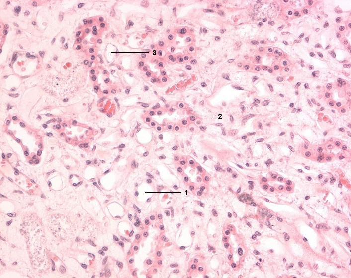
1 Tubulus intermedius
2 Sammelrohr
3 Kapillare (Vas rectum)
[drucken] Drucken
[zum interaktiven Modus]