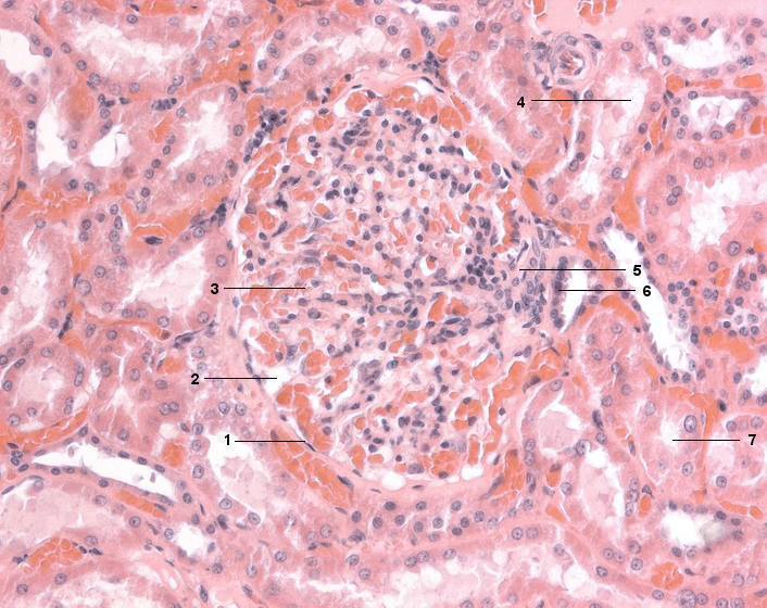
1 Bowman-Kapsel, parietales Blatt
2 Bowman-Kapselraum
3 Glomerulum, Kapillarknäuel
4 Distaler Tubulus
5 Gefäßpol, Polkissen
6 Macula densa
7 Proximaler Tubulus
[drucken] Drucken
[zum interaktiven Modus]