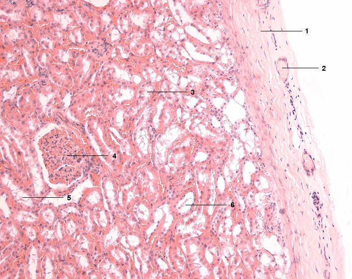
1 Capsula fibrosa
2 Gefäß mit Erythrozyten
3 Cortex renalis, Rindenlabyrinth
4 Corpusculum renale
5 Tubulus proximalis, Pars convoluta
6 Tubulus distalis, Pars convoluta
[drucken] Drucken
[zum interaktiven Modus]