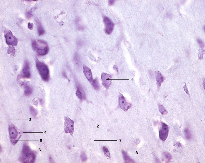
1 Körnerzelle, Zellkern
2 Nukleoulus
3 Körnerzelle, apikaler Dendrit
4 Basaler Dendrit
5 Nissl-Schollen
6 Basaler Dendrit
7 Neuropil
8 Körnerzelle
[drucken] Drucken
[zum interaktiven Modus]