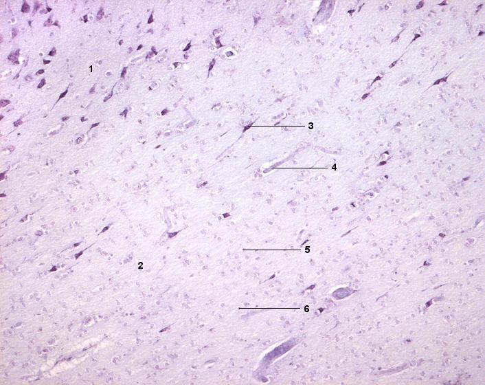
1 Lamina multiformis
2 Marklager
3 Bipolares Neuron
4 Venole
5 Astrozyt
6 Oligodendrozyt
[drucken] Drucken
[zum interaktiven Modus]