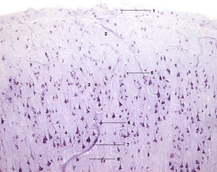
1 Membrana limitans gliae superficialis
2 Lamina molecularis
3 Lamina granularis externa
4 Lamina pyramidalis externa
5 Körnerzelle
6 Pyramidenzelle
7 Blutgefäß
8 Neuropil
[drucken] Drucken
[zum interaktiven Modus]