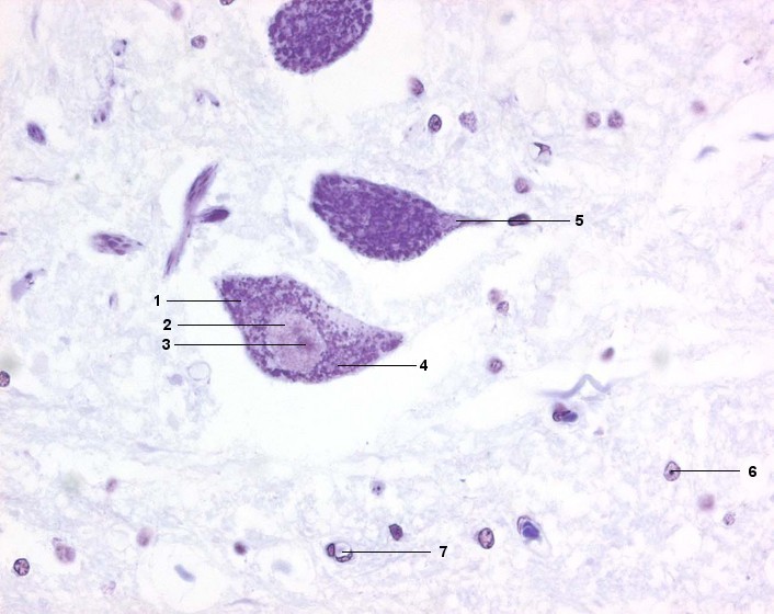
1 Multipolare Nervenzelle (Perikaryon)
2 Zellkern
3 Nukleolus
4 Nissl-Schollen
5 Dendrit
6 Astrozyt (Zellkern)
7 Kapillare
[drucken] Drucken
[zum interaktiven Modus]