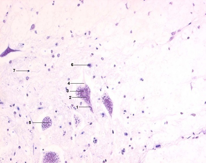
1 Multipolare Nervenzelle (Dendrit)
2 Perikaryon
3 Zellkern
4 Axonhügel, Ursprungskegel
5 Nissl-Schollen
6 Astrozyt
7 Oligodendrozyt
[drucken] Drucken
[zum interaktiven Modus]