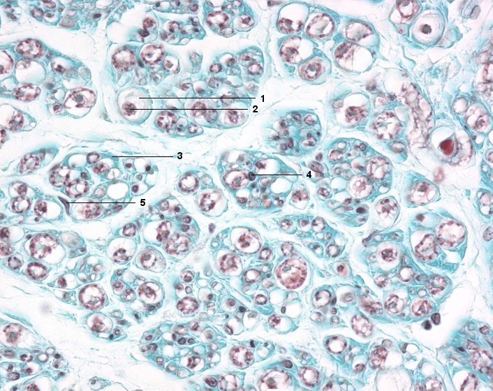
1 Markhaltige Nervenfaser (Myelinscheide)
2 Axon
3 Endoneurium
4 Schwann-Zelle
5 Fibrozyt des Endoneuriums
[drucken] Drucken
[zum interaktiven Modus]