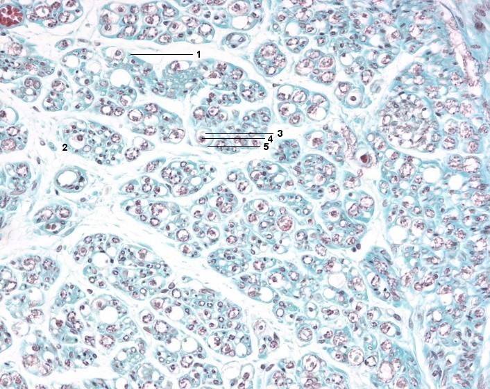
1 Endoneurium
2 Markhaltige Nervenfaser
3 Markscheide eines Axons (herausgelöst)
4 Axon
5 Endoneurium
[drucken] Drucken
[zum interaktiven Modus]