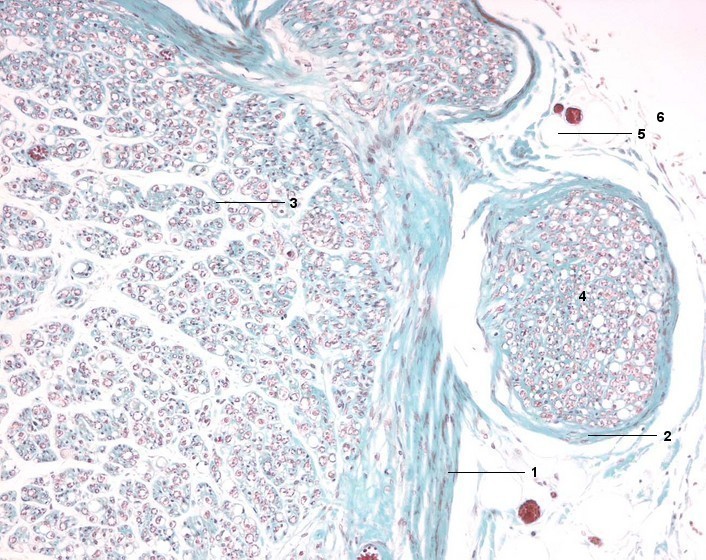
1 Epineurium
2 Perineurium
3 Endoneurium
4 NervenfaserbĂĽndel
5 Univakuoläre Fettzelle
6 Venole
[drucken] Drucken
[zum interaktiven Modus]