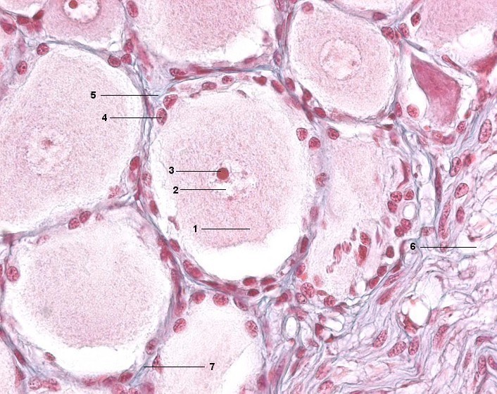
1 Ganglienzelle, Perikaryon
2 Zellkern
3 Nukleolus
4 Mantelzelle, Satellitenzelle (Zellkern)
5 Kollagene Fasern
6 Markhaltige Nervenfaser
7 Kollagene Fasern
[drucken] Drucken
[zum interaktiven Modus]