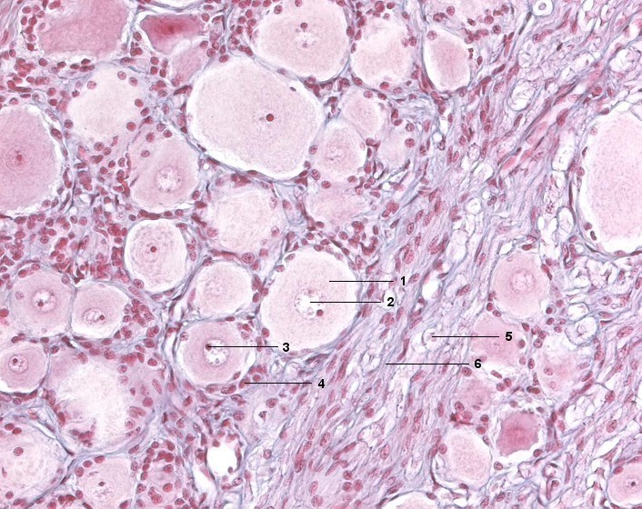
1 Ganglienzelle, Perikaryon
2 Zellkern
3 Nukleolus
4 Mantelzelle, Satellitenzelle (Zellkern)
5 Markhaltige Nervenfaser (quer)
6 Kollagene Fasern
[drucken] Drucken
[zum interaktiven Modus]