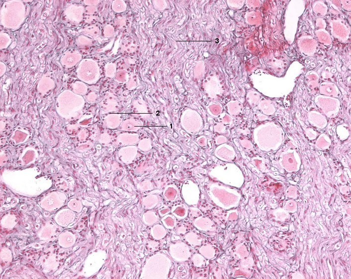
1 Ganglienzelle, Perikaryon
2 Mantelzellen, Satellitenzellen
3 Markhaltige Nervenfasern (längs)
[drucken] Drucken
[zum interaktiven Modus]