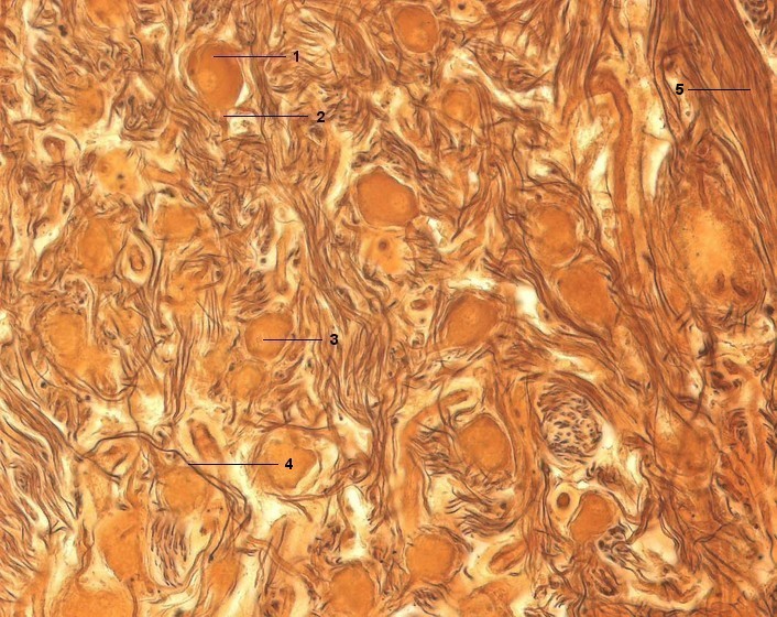
1 Multipolare Nervenzelle, Perikaryon
2 Nervenzelle, Dendrit
3 Zellkern mit Nukleolus
4 Nervenzelle, Axon
5 Nervenfaserbündel
[drucken] Drucken
[zum interaktiven Modus]