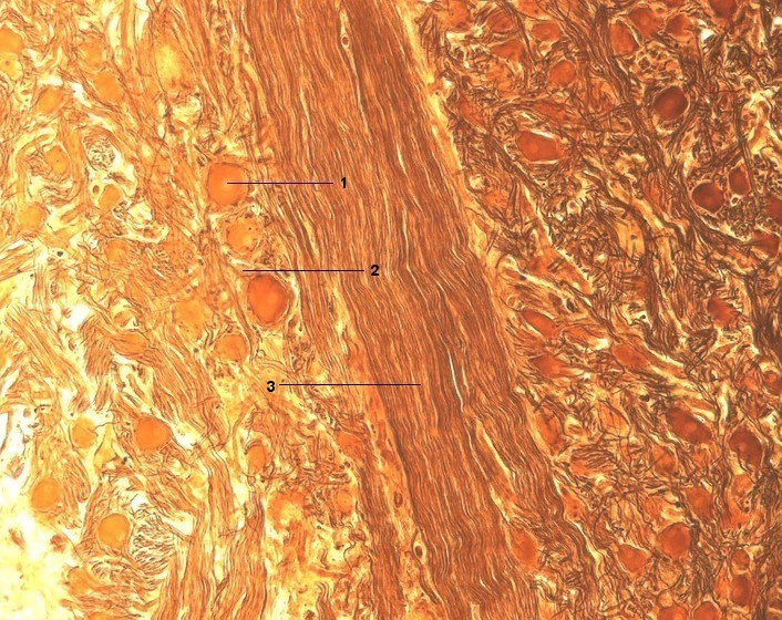
1 Multipolare Nervenzelle, Perikaryon
2 Dendrit einer Nervenzelle
3 Nervenfaserbündel
[drucken] Drucken
[zum interaktiven Modus]