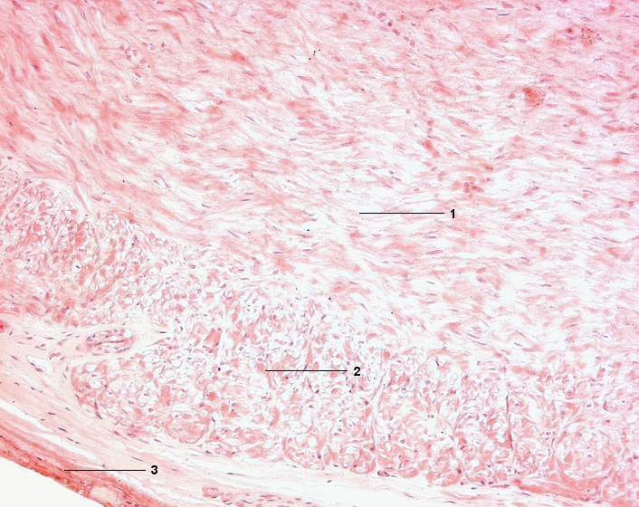
1 Tunica muscularis, mittlere Ringmuskelschicht
2 Äußere Längsmuskelschicht
3 Tunica adventitia
[drucken] Drucken
[zum interaktiven Modus]