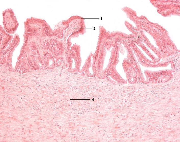
1 Lamina epithelialis mucosae
2 Lamina propria mucosae
3 Schleimhautbrücke
4 Tunica muscularis
[drucken] Drucken
[zum interaktiven Modus]