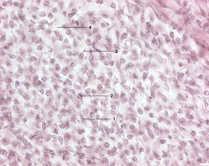
1 Mesenchymzelle, Zellkern
2 Zellkern mit Nukleolus
3 Fortsatz einer Mesenchymzelle
4 Interzellularraum
[drucken] Drucken
[zum interaktiven Modus]