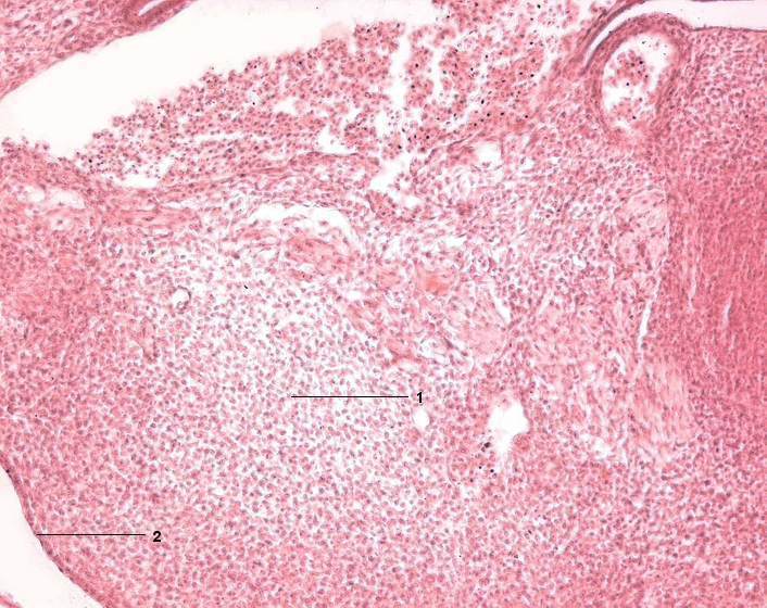
1 Mesenchymales Bindegewebe (Mesenchym)
2 Oberflächenektoderm
[drucken] Drucken
[zum interaktiven Modus]