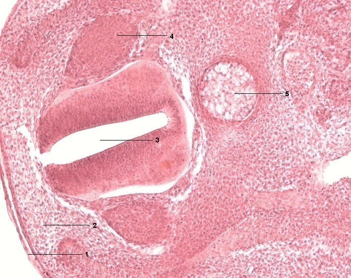
1 Oberflächenektoderm
2 Mesenchymales Bindegewebe (Mesenchym)
3 Neuralrohr
4 Neuralleiste / Spinalganglion
5 Chorda dorsalis
[drucken] Drucken
[zum interaktiven Modus]