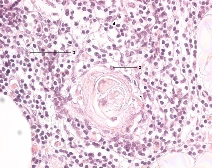
1 Hassal-Körperchen
2 Epitheliale Retikulumzelle
3 Kapillare
4 Lymphozyt
[drucken] Drucken
[zum interaktiven Modus]