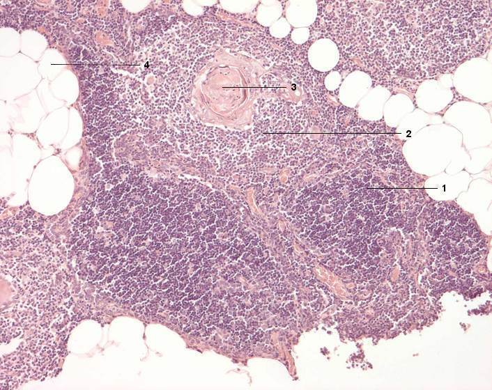
1 Tymusgewebe, Rinde
2 Mark
3 Hassall-Körperchen
4 Univakuoläre Fettzelle
[drucken] Drucken
[zum interaktiven Modus]