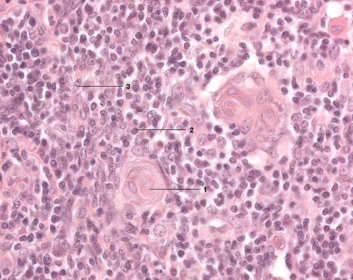
1 Hassall-Körperchen
2 T-Lymphozyt
3 Epitheliale Retikulumzelle
[drucken] Drucken
[zum interaktiven Modus]