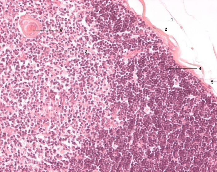
1 Kapsel (kollagene Fasern)
2 Rinde
3 Mark
4 Lymphozyten
5 Epitheliale Retikulumzelle
6 Hassall-Körperchen
[drucken] Drucken
[zum interaktiven Modus]