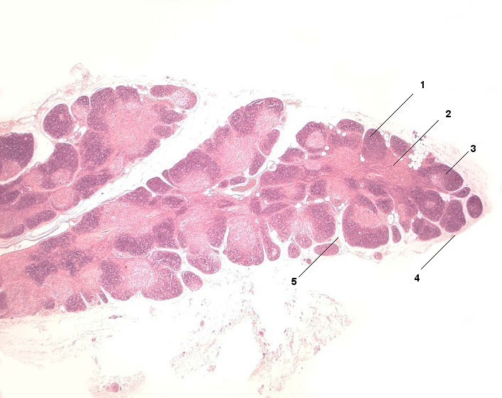
1 Rinde
2 Mark
3 Läppchen (Lobulus thymi)
4 Kapsel
5 Bindegewebsseptum
[drucken] Drucken
[zum interaktiven Modus]